水試所研發烏魚系群快速檢測試紙 強化養殖韌性迎戰氣候變遷
農業部水產試驗所近日宣布,在烏魚養殖技術上取得重要突破。
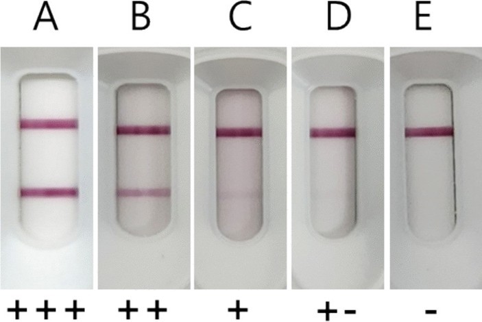
研究團隊運用分子生物鑑定方法,成功研發出「烏魚系群快速檢測試紙」,讓養殖業者可以在短時間內判別魚苗所屬的系群來源,進而挑選最適合臺灣環境的品系進行養殖。這項成果不僅有助提升產業管理效率,也為面對氣候變遷帶來的新挑戰,提供更科學化的解決方案。
烏魚因盛產烏魚子,被譽為「烏金」,長期以來是臺灣沿近海漁業與養殖產業的重要經濟魚種。每到冬季烏魚洄游季節,更帶動相關加工與出口產業鏈,對地方經濟具有顯著貢獻。不過,目前養殖使用的烏魚苗,多數仍依賴野外撈捕,魚苗來源複雜,系群難以區分,增加養殖管理的不確定性。
水試所說明,臺灣周邊西北太平洋海域的烏魚,大致可分為溫帶型、黑潮型與熱帶型三種系群,分布在不同水溫環境。由於各系群在成長速度、體型與生殖能力上存在差異,若未能正確辨識魚苗來源,可能影響養殖成果與產值。在氣候變遷影響水溫變化的情況下,選對適合環境的系群,更顯重要。
研究團隊指出,過去實驗已顯示,不同系群的雌魚在生殖表現上差異明顯,直接影響烏魚子的品質與產量。例如,溫帶型雌魚在養殖三年後,性腺發育較不理想,卵巢未明顯成熟,經濟價值相對有限。黑潮型雌魚則具有較高的性腺指數與發育中的卵巢,具備生產烏魚子的潛力。至於熱帶型雌魚,無論體重或卵巢重量,都顯著高於其他系群,展現更佳的產值優勢。

為了讓業者能快速掌握魚苗系群資訊,水試所將分子標記技術應用於檢測工具開發,設計出操作簡便的快速試紙。透過檢測魚苗或親魚樣本,即可在短時間內判定其系群來源,大幅提升鑑別效率。這項技術可協助業者在人工繁殖、種苗篩選與養殖規劃上做出更精準的判斷。
水試所表示,未來將持續優化檢測準確度與使用便利性,並與產業合作推廣應用,協助建立更穩定的種苗供應體系。透過科學化管理與精準選種,臺灣烏魚養殖產業將更具氣候適應能力與市場競爭力。

在全球氣候與海洋環境快速變動的背景下,強化養殖基礎與提升品質,已成為產業發展的重要方向。此次烏魚系群快速檢測試紙的研發成果,為臺灣烏魚產業邁向永續與高附加價值發展,奠定更穩固的基礎。











0 則留言
尚無留言,歡迎成為第一個留言的人!